![]()
強度変調放射線治療(IMRT)の品質管理・品質保証活動
本試験の放射線治療の品質管理・品質保証活動プログラムとして、参加施設に対してIMRTの線量に関する第三者評価を臨床試験開始前に実施しています。これは、線量計とフィルムを用いて評価点線量と照射位置を計測し、施設間の線量精度が許容される範囲内にあることを第三者が保証するものです。また臨床試験開始後には、登録された全症例に対して放射線治療計画の内容を研究事務局がレビューし、プロトコール規定の遵守状況につき確認を行います。
本プログラムは、厚生労働科学研究費補助金がん臨床研究事業「がん医療の均てん化に資する放射線治療の推進及び品質管理に係る研究」班の支援のもと、千葉県がんセンター遠山尚紀先生、名古屋市立大学石倉聡先生らのご協力で実現しております。
本試験におけるDICOM RTデータの書き出しと匿名化について
本試験では、放射線治療品質保証関連資料として、治療計画のDICOM-RTデータ
を匿名化し、研究事務局へ送付することとなっております。
治療計画装置ごとのDICOM RTデータの書き出し、匿名化の方法につきましては、別の研究班のホームページで公開されています。匿名化について、ご不明の場合にはご参照ください。
DICOM RTデータの書き出し、匿名化については
コチラ
本試験におけるContouringのコンセンサスについて
前立腺等のcontouringは、施設差、個人差があることが知られています。
本試験では、その差を少しでも小さくするために、contouringのコンセンサスを作成しました。
不十分な点やお気づきの点がございましたら、研究事務局までご連絡ください。
*本試験の実施のために作成したものであり、一般臨床で参考にされる場合には施設の責任でご利用ください。
Contouringの例
治療計画CT
・CTスライスは3mm以下で撮像する。
・直腸の拡大は、前立腺癌に対する放射線治療の成績に影響を与える可能性があり、ガスや便で直腸が拡大していないことを確認する。
・ 治療計画のためのMRIを撮影するか、または診断用に撮影されたMRIを参照する
・ FOVは体輪郭が全て含まれる適切なFOVを設定する。極度の肥満症例では、FOVに収まらない場合もあり、治療は外部照射以外の治療法を考慮すべき。
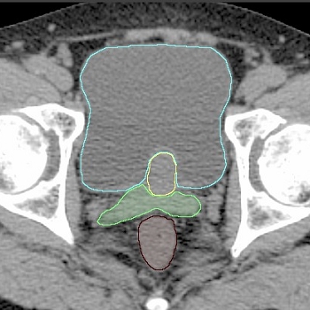
前立腺
・前立腺周囲には、静脈叢、深陰茎背静脈の浅枝、肛門挙筋などがあり、単純CT上では区別は難しいことも多いため、不用意に大きく囲まないよう注意が必要である。
・apexは、前立腺癌の好発部位のひとつであり、contouring時に注意が必要である。MRIの冠状断にて、penile bulbからのGU diaphragmの厚さまたはApexまでの距離を測定しておき、CTでのcontouringでの確認に利用する方法もある(図1)。また、再構成した矢状断で、大まかなpenile bulbやGU diaphragmの位置から推定する方法もある(図2)。
・前立腺を囲んだ後、矢状断、冠状断または3Dで表示させてみて、形がいびつでないか、不自然な凹凸がないか、penile bulbやGU diaphragmとの位置関係などを確認する。
・囲んだ前立腺の体積を計算し、USでの結果等と比較する。

(図1)CTでは、Apexと尿道を区別することは難しく、MRIにてPenile bulbからの GU diaphragmの厚さまたはApexまでの距離を測定し、CTVのcontouringに反映させるとわかりやすい。ApexのどこまでをCTVに含めるかについては、腫瘍の好発部位であるapexを十分含める(左図のように1-2スライス多めに含める)という考え方と、MRIで判断されるapexまでに限定してCTVとするという考え方がある。

(図2)再構成したCT矢状断で、大まかなpenile bulbやGU diaphragmの位置からapexの位置を推定する方法もある。
*本図では、直腸内にガス抜きのためのチューブが挿入されているが、直腸内ガスが無いことを確認できれば、通常は必要ない。
直腸
本試験では、直腸は、肛門(座骨結節のレベル)から直腸S状結腸移行部まで(通常、仙腸関節の尾側端以下のレベルとなる)、充実性の臓器として囲む。欧米での臨床試験ではこの囲み方で直腸線量が評価されていることが多く、過去の他施設の報告とも比較しやすい (1)。
しかし、PTVの前後1~1.5cmのみの直腸を囲む場合も多くみられ、IMRTの最適化を行う場合は、よりよい分布が得られることが多い。
S状結腸、小腸
時に前立腺あるいは精嚢と直腸の間にS状結腸・小腸が入り込む症例があり、この場合には照射野内におけるこれら臓器の輪郭も描画し、評価を行うべきである。
膀胱
膀胱は、膀胱頚部から底部まで、筋層を含めて充実性の臓器として囲む。
本試験では、膀胱は、30分~2時間程度の蓄尿を心がけて、排尿直後の状態では計画を行わない。
標的体積
GTV:前立腺(T3aの場合には、被膜外浸潤も含む)とする。
CTV:一般的には、低リスクの場合にはGTVのみ、中リスクの場合にはGTVおよび精嚢基部1 cm程度、高リスクの場合にはGTV+精嚢2 cm程度とすることが多い (2)。本試験では、高リスクに関しては比較的リスクの低いものに限定しているため、CTVは中リスク、高リスクともに、GTVおよび精嚢基部1 cm程度とする。
PTV:上記のCTVに患者固定再現性等を見込んだ適切なマージンを加える。本試験では前立腺合わせによるIGRTを行うため、CTVに4 mm(直腸側以外は最低5mm) ~8mmのマージンをつけると規定している。特に頭尾方向に関しては、CTスライス幅を考慮し、5~8 mm 程度のマージンを設定する。
*GTV+精嚢基部1 cmについて
CTVに精嚢基部1 cmを加える場合、図3に記載されているように、施設によって様々な考え方がある。線量制約が十分保たれていれば、各施設の考え方に沿って実施する。
最近のRTOGプロトコールでは、「Only the proximal 1.0 cm of seminal vesicle tissue adjacent to the prostate shall be included in the clinical target volume. This 1.0 cm of seminal vesicles refers to both radial (in plane) and superior (out of plane) extent. If both prostate and seminal vesicle are visualized in the same CT slice, this seminal vesicle tissue will contribute to the 1.0 cm of tissue.」(RTOG0815) (3)と、詳細に記載しており、参照されたい。

(図3)施設による考え方の違いを示す。ピンクのラインはCTVを、赤のラインはPTVを示す。
*マージンなどを自動的に3次元的に拡大させた場合、2次元的にみると大きく拡大されていることがある。(理由のひとつとして、CTスライス方向の自動拡張機能がCT厚に大きく依存することなどがある。(図4)*ただし、治療計画装置やバージョンによって異なる可能性があるため、各施設でご確認ください。)そのため、各軸位断像を確認して、大きすぎる部分は削除してトリミングをおこなうことがある。

(図4) 3cm球を自動拡張機能を使って拡張させたもの。CTスライス方向の自動拡張機能がCT厚に大きく依存することがわかる。
文献
1) Michalski JM, et al. Radiation dose-volume effects in radiation-induced rectal injury. Int J Radiat Oncol Biol Phys. 76(3 Suppl):S123-9., 2010
2) Boehmer D, et al. Guidelines for primary radiotherapy of patients with prostate cancer. Radiother Oncol. 79(3):259-69, 2006
3) http://www.rtog.org/












